Oferta Dentysta LublinRtg 3d
W Czupkałło Dental Clinic zapewniamy Państwu pełną diagnostykę radiologiczną niezbędną do leczenia zębów.
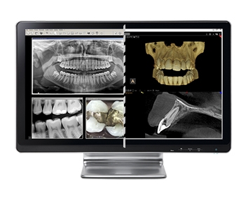
Mamy do dyspozycji takie urządzenia do nowoczesnej diagnostyki radiologicznej, jak:
– przed leczeniem implantologicznym – skan 3D umożliwia ocenę ilości, objętości i jakości kości u pacjenta, potrzebnej do wszczepienia implantu zębowego. Na jego podstawie czas zabiegu chirurgicznego zostaje skrócony, a ryzyko powikłań znacząco zmniejszone,
Mamy do dyspozycji takie urządzenia do nowoczesnej diagnostyki radiologicznej, jak:
- Rentgen punktowy zębów – radiowizjografia punktowa 2D MyRay zlokalizowana przy każdym fotelu stomatologicznym– pozwala w szybki i bezpieczny sposób przy minimalnej dawce promieniowania zrobić jeszcze na fotelu ( nawet w trakcie zabiegu) zdjęcię pojedynczego zęba.
- Rentgen panoramiczny – pozwala na robienie zdjęć pantomograficznych 2D zębów, które służą do wykrywania większości zmian , pozwala też wstępnie zaplanować leczenie.
- Tomografia zębów 3D – tomografia komputerowa 3D zębów jest niezbędna :
-w kierunku diagnostyki chorób zatok szczękowych oraz stanu kości szczęk i żuchwy co jest wykorzystane przez periodontologa lub chirurga do dalszych zabiegów
–w diagnostyce trudnych przypadków leczenia kanałowego (endodontycznego) – np. w celu lokalizacji złamanego narzędzia lub odnalezienia dodatkowego kanału w korzeniu zęba itp. ( wykonywana jest wówczas mikrotomografia CBCT). Badania tomografii komputerowej wykonywane są za pomocą nowoczesnego tomografu
Kodak Carestream 8100 3D.CS 8100 to najbardziej innowacyjny na świecie tomograf CBCT i pantomograf.
Nasz aparat pozwala na wykonanie zdjęcia mikrotomograficznego (CBCT), czyli zdjęcia tylko wybranego odcinka szczęki lub żuchwy w najwyższej rozdzielczości dostępnej na rynku przy minialnym naświetleniu pacjenta.
Bezpieczeństwo badania tomograficznego zębów
Zdrowie i bezpieczeństwo naszych pacjentów są dla nas najważniejsze, dlatego też korzystamy z najbardziej zaawansowanego technologicznie sprzętu, który pozwala na wykonywanie badań ze zredukowaną aż o 75%-90% dawką promieniowania rentgenowskiego (Inteligentny System Kontroli Dawki).
Przeciwwskazaniem do wykonywania zabiegu jest ciąża. Jeżeli wykonanie badania jest nieuniknione w tym okresie, konieczne jest zastosowanie maksymalnej ochrony płodu przed rozwiązaniem.
UWAGA!
W celu wykonania zdjęcia rentgenowskiego niezbędne jest posiadanie skierowania od lekarza, na którym jasno określone zostało miejsce badania oraz cel wykonania badania.







